半導體行業作為現代科技的基石,被譽為“工業糧食”,盡管會經歷周期性波動,但長期規模呈穩步上升趨勢。據WSTS預測,2024年全球半導體市場將同比增長19.0%,達到6270億美元。集成電路產業鏈涵蓋設備、材料、設計、制造及封測等環節,其中設計和制造是利潤核心。行業特點包括硅周期與經濟周期的疊加、下游應用的持續迭代以及“牛鞭效應”導致的供需失衡。技術發展動力主要來自“摩爾定律”和“安迪-比爾定律”,同時政策支持也是重要的外部驅動力,如中國的大基金扶持政策。
高純氧化鋁粉體因其良好的化學穩定性、耐高溫、強度大、絕緣性能好且耐磨性好,而被普遍應用在電子、催化、半導體和航空航天等領域。
例如,在半導體刻蝕設備中,刻蝕機腔室材料作為晶圓污染的主要來源,等離子刻蝕對其影響程度決定了晶圓的良率、質量、刻蝕工藝的穩定性等等。因此,研究和開發出一種極其耐刻蝕腔體材料成為半導體集成產業以及等離子刻蝕技術中一項極具挑戰的任務。當前,主要采用高純Al2O3涂層或Al2O3陶瓷作為刻蝕腔體和腔體內部件的防護材料。除了腔體以外,等離子體設備的氣體噴嘴,氣體分配盤和固定晶圓的固定環等也需用到高純氧化鋁陶瓷。再例如在晶圓拋光工藝中,氧化鋁陶瓷可被廣泛應用于拋光板、拋光磨墊校正平臺、真空吸盤等。
然而,作為半導體產業的重要支撐材料之一,對氧化鋁材料的技術研發和突破在我國仍較薄弱,國產高端氧化鋁材料市場占有率僅有 3%-5%。圣華特瓷(北京)科技有限公司(以下簡稱“圣華特瓷”)自成立之初就投入大量資金、人力對a相高純納米氧化鋁粉體進行研發,致力于解決我國在氧化鋁新材料領域的“卡脖子”問題。
目前,圣華特瓷已實現年產各類高純度納米級a-氧化鋁粉體產品超300噸,建設研發中心1個,生產基地2個。公司產品已應用于半導體CMP拋光、陶瓷靜電卡盤制造、陶瓷電子基板制造、復合材料制造等領域,產品品質獲得國內多家相關領域龍頭企業與科研機構認可。
 
圣華特瓷可按客戶需求生產各種規格指標產品,并確保質量過硬,供貨穩定。
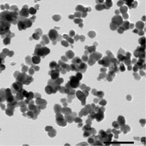
•SHTC-201高純納米級氧化鋁微粉
 

•SHTC-301高純納米級氧化鋁微粉

【產品特性】

* MgO為添加劑,不作為Al2O3中的雜質計算。
**未添加助焊劑,樣品在29.4MPa(300kg/cm2),1100℃下燒結。
 
•低溫燒結高強度氧化鋁粉體
 
【產品特點】本產品在較低溫度下燒結即可實現高強度、高密度,適用于對產品機械強度、耐磨性有較高要求的行業領域。
【適用領域】電子陶瓷基板、半導體結構件等領域。
•高純納米氧化鋁材料是圣華陶瓷推出的新產品,在半導體行業中發揮著重要作用。
 
【產品特性】
 
結語
圣華特瓷深耕納米氧化鋁領域,以自主創新打破技術壁壘,推出多款高純度、高性能粉體及陶瓷產品,助力半導體設備與工藝升級。公司以穩定供應、定制化服務及卓越品質為基石,誠邀產業鏈伙伴攜手合作,共拓國產高端材料新篇章!歡迎垂詢,共創價值。
參考來源:
[1] 陳雪誼等.高純氧化鋁粉體可控綠色合成及其吸附性能研究
[2] 半導體產業報告.大國博弈下的半導體產業:發展趨勢與變革
[3] 粉體網.高純氧化鋁陶瓷:四大領域的關鍵‘瓷’器,盡顯“純凈”魅力
[4] 圣華特瓷(北京)科技有限公司官網、粉體網企業展臺

























