
貝克曼庫爾特商貿(中國)有限公司
白金會員
已認證

貝克曼庫爾特商貿(中國)有限公司
白金會員
已認證
患兒女,10 歲,主訴高熱伴腹痛 4 天入院。
入院查體:急性病容,體溫 38.5℃,呼吸急促,雙側頸部、腋窩、腹股溝可觸及腫大淋巴結,最大 1.0×1.5 cm,質軟,有壓痛感,活動度可;脾大,肋下約 2 cm,質軟無壓痛,余無明顯陽性體征。血常規示:Hb 135 g/L,WBC 19.6×109/L,LYM:78%,PLT 142×109/L。
入院后完善骨髓涂片,流式等檢查。(點擊【閱讀原文】查看完整詳細病史、既往史、家族史信息)
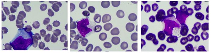
涂片結果如下:骨髓增生活躍,原始細胞比例不好,粒細胞比例減低,淋巴細胞比例升高,可見約 14.5% 的異淋(圖一)。

圖一 異形淋巴細胞
流式結果如下:未見明顯異常原始細胞,粒細胞相對比例減低,淋巴細胞相對比例升高,T 細胞 CD4 比 CD8 比值減小(0.21),CD8 陽性的 T 細胞分兩群,一群 CD3 和 CD8 較弱(同時 CD7 減弱,CD2 和 CD5 也可以有一定程度減弱),一群 CD3 和 CD8 較強(圖二)。

圖二 T 細胞免疫表型
同時,該患兒 EBV DNA 定量為 3.4×109/mL,EBV IgM 抗體陽性。
你見過這種病例嗎?究竟是什么病?
掃描下方二維碼或點擊「閱讀原文」,按引導提交信息后點擊「病例分享匯」-「感染科」即可查看完整診斷結果及病例分析思考,參與互動還有機會獲得精美禮品:


下期預告
妊娠是一個復雜的生理過程。從免疫學角度看, 帶有父方抗原的胎兒及其附屬物類似半異體移植物, 將導致母體免疫系統對其進行免疫識別及應答。從妊娠結局來看, 又與移植不同, 母體對胎兒的免疫應答發生某種變化, 使胎兒不致被排斥。
目前為止,妊娠及分娩過程機理尚不明確. 但可以確定免疫細胞及反應在其中發揮了重要作用。在妊娠期間,機體總的免疫功能狀態是如何變化的,哪一群細胞對于監測妊娠和復發性流產等方面有著重要的意義?
作者:

周劍峰 博士
金域醫學營銷運營中心血液疾病醫學總監
- 2002~2008 年 醫學學士 山東大學醫學院臨床醫學英語班。
- 2008~2013 年 臨床醫學博士(內科學 血液方向)中國醫學科學院北京協和醫學院天津血液病醫院,師從我國著名兒童血液病專家 竺曉凡教授 在研究生期間完成了大內科及大血液內科輪轉,具有較扎實的大內科及血液內科基本功,參與了國家自然基因項目及國家科技攀登項目,并在國內外多種期刊發表數篇文章。
- 2013 年加入金域醫學,主要負責血液病理診斷,特別善長于血液腫瘤免疫分型檢測,微小殘留病流式檢測及血液病的分子診斷。
責編:杭璐
題圖來源:站酷海洛
點擊閱讀原文查看病例詳細資料
閱讀原文
最新動態
更多