
上海奧法美嘉生物科技有限公司
鉆石會員
已認證

上海奧法美嘉生物科技有限公司
鉆石會員
已認證
全文共 1815 字,閱讀大約需要6分鐘
背景:佐劑是基于重組蛋白的現代疫苗的關鍵組成部分,這些疫苗通常免疫原性很差,沒有其他免疫刺激劑。水包油乳劑包含一類高級的疫苗佐劑,它們是批準的季節性和大流行性流感疫苗的組成部分。但是,很少有報道系統地評估不同乳液組分的體外穩定性和體內佐劑作用。
目標:為了評估不同均質次數下,粒徑的分布情況,均質三次是否可以滿足要求。
方法:通過高壓微射流均質機制備乳液,并通過動態光散射,電鏡測試相關的結果。
結果:我們證明了均質三次,結果已經達到了預期,但是仍然有明顯的大顆粒的存在。
結論:通過微射流均質機可以制備質量較好的疫苗佐劑,水包油乳劑可以顯著增強針對大流行性流感抗原的抗體和細胞免疫反應。
關鍵詞:微射流均質機;納米粒度儀;水包油乳劑;大流行性流感;疫苗佐劑;
1 疫苗佐劑綜述
疫苗接種的目的就是要獲得對疾病持久的免疫保護反應。 與弱毒疫苗不同,滅活疫苗或亞單位疫苗通需要疫苗佐劑的參與才能更好的發揮作用。“佐劑”一次來自于拉丁語“ Adjuvare ”一詞,為“幫助”或“輔助”之意。免疫佐劑的生物作用包括:
1 抗原物質混合佐劑注入機體后,改變了抗原的物理性狀,可使抗原物質緩慢地釋放,延長了抗原的作用時間;
2 佐劑吸附了抗原后,增加了抗原的表面積,使抗原易于被巨噬細胞吞噬;
3 佐劑能刺激吞噬細胞對抗原的處理;
4 可刺激致敏淋巴細胞的分裂和漿細胞產生抗體。故免疫佐劑的作用可使無免疫原性物質變成有效的免疫原;
5 佐劑可促進淋巴細胞之間的接觸,增強輔助 T 細胞的作用
6 可提高機體初次和再次免疫應答的抗體滴變;
7 改變抗體的產生類型以及產生遲發型變態反應,并使其增強。
人們正是因為觀察到疫苗接種位點處形成的膿腫協助機體產生了針對特異性抗原更強的免疫反應, 從而形成了疫苗佐劑的理念。與接種抗原不相關的物質形成的膿腫壞死也能增強疫苗的特異性免疫反應。
油乳劑佐劑繼鋁鹽類佐劑后用于人用疫苗佐劑,包括水包油或油包水乳劑,如,弗氏不完全佐劑, Montanide系列,佐劑 65。通過在接種位點形成抗原貯存庫降低抗原的釋放速度, 以及刺激產生抗體的漿細胞發揮佐劑效應。
油乳劑的副作用主要包括在接種位點處形成炎癥反應,肉芽腫以及潰瘍。為了篩選出更穩定,毒性更小的油乳劑,已經對不同來源的多種天然油進行了評估。水包油和油包水疫苗佐劑是繼弗氏不完全佐劑發展起來的油乳佐劑,更加穩定,毒副作用也更小。
2 材料與方法
1 實驗設備:
中試型高壓微射流均質機(PSI-20高壓微射流均質機,意大利PSI均質機公司),配備75微米(E102D,G10Z)孔徑“Y型”通道金剛石交互容腔(均質腔)。納米粒度及Zeta電位儀(Z3000納米粒度及Zeta電位儀,美國PSS公司)。
2 實驗材料:
聚山梨酯80,泊洛沙姆188,甘油,緩沖液,山梨糖醇三油酸酯,卵磷脂酰膽堿,α-生育酚。
3 實驗步驟:
通過水相和油相分開制備來制備所有乳液制劑。在攪拌下將聚山梨酯80,泊洛沙姆188,甘油和緩沖液組分溶解在水相中,而將山梨糖醇三油酸酯,卵磷脂酰膽堿和α-生育酚在超聲處理和加熱下溶解在油相中。然后Silverson實驗型混合機乳化劑將水相和油相以1000 g混合10分鐘(得到粗乳液。通過PSI-20高壓微射流均質機將粗乳液在207 MPa(30000 psi)下均質3遍(圖示一),水浴溫度設置為室溫,測試粒徑變化情況。



圖示一:A).本實驗所用PSI-20高壓微射流均質機圖片。B).金剛石交互容腔內部概覽圖,孔徑為75微米。C).交互容腔內部剖面圖,剪切率約為2×106/秒。
3 試驗結果
使用Z3000納米粒度儀分別測試均質3次的粒徑變化,均質次的粒度為:163.9nm、150.5nm、135.8nm,結果如下(圖示二)。





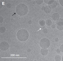
圖示二 A:均質第一次的粒徑結果,B均質第二次的粒徑結果,C均質第二次的粒徑結果,D均質三次結果對比,E電鏡結果
從結果中可以看出均質三次后粒徑發生了很大的變化,從電鏡結果中可以看出,均質三次的樣品有明顯的大顆粒的存在,所以均質三次還是不夠的,通常情況下仍要增加均質次數來達到更好的粒徑結果,查詢相關的文獻發現,不同的乳化劑對于粒徑的影響很大,較好的配方能夠在減少的均質次數的情況下獲得更小更好的粒徑分布,并且存儲時間更長,這些還需要進一步的實驗去論證。
4 結論
通過PSI-20微射流均質機可以在較短的時間內制備出較好的疫苗佐劑,粒徑結果較好。水包油型流感抗原佐劑能有效地增加免疫廣度,降低所需抗原劑量。為了充分發揮這些佐劑在各種環境下的潛力,穩定性和替代成分可能更便宜或更容易獲得是重要的考慮因素。在實驗中得到的顆粒大小結果也是一個很好的參考意義,這對于發展中國家有很好的指導作用。PSI和PSS可以很好的滿足這一實驗的測量。
相關產品
更多
相關文章
更多
技術文章
2025-09-30技術文章
2025-08-20技術文章
2025-08-14技術文章
2025-04-18
虛擬號將在 秒后失效
使用微信掃碼撥號